Marmur®
Home
Services
Testimonials
Schedule Consultation



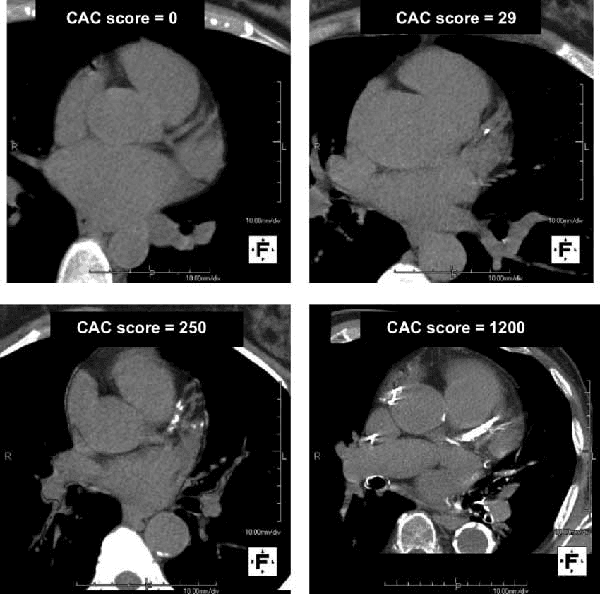
Emerging biologic tools allow deeper refinement of cardiovascular risk and therapeutic strategy.
Genomic evaluation may include polygenic risk scoring to assess inherited susceptibility to atherosclerotic disease. While genetic predisposition does not determine outcome, it can inform earlier intervention and more individualized lipid-lowering thresholds.
Proteomic profiling offers additional insight into inflammatory activation, endothelial function, and plaque biology. When interpreted within clinical context, these biomarkers may further refine long-term risk estimation.
Importantly, genomic and proteomic data are not applied in isolation. They are integrated with imaging findings, lipid biomarkers, metabolic parameters, and family history to inform a structured prevention strategy.
Cardiovascular risk in men frequently intersects with metabolic dysfunction, hormonal balance, and long-term vascular integrity. Structured evaluation may include metabolic syndrome assessment, lipid optimization, prostate-specific antigen (PSA) screening when appropriate, and integration of cardiovascular and endocrine risk factors.
The objective is disciplined, evidence-based management of cardiometabolic health within a long-horizon prevention strategy, emphasizing vascular longevity rather than isolated symptom management.
In addition to preventive cardiology services, Dr. Marmur provides expert cardiovascular case review involving risk stratification, imaging interpretation, and standards of care in interventional cardiology.
Services may include structured record review, written medical opinions, deposition testimony, and trial consultation. Engagements are approached with analytical rigor and adherence to evidence-based principles.
Schedule Consultation
Practice
Home
About
Our Team
Care
Services
Patient Info
FAQs
Contact
Contact Us
Location
Appointments
Resources
Insurance
Privacy Policy
Terms
Follow Us